首页 / 广州大学
 机构设置  教学动态  教务通知  规章制度  教务公示  表格下载  教师发展  质量保障 
 
系统登录

  用户名
  密 码

 

 
 教师发展 
 
教师发展
潘顺波老师观摩课
2017-11-16 10:22   审核人:

    观摩课简介          

潘顺波老师的观摩课课程名称为《人体组织解剖学》中的“肾脏的解剖与功能”,教学班级为:生科161班。上课时间为:2017年11月16日。上课地点是理南320多媒体录播室。

优质课观摩

    潘顺波老师《人体组织解剖学》

   

潘顺波老师在讲课  

   

   

潘顺波老师在讲课  

           

  课评    

    潘顺波老师的授课具有以下特点:  

1、注重创设问题情况,引发认知冲突  

潘老师非常注重知识的导入与情境的创设,如教学伊始,通过复习上节课的“呼吸膜的薄具有利于气体交换的功能”切入到本课“在肾的结构是否也具有相同结构与功能的膜?”既是复习,也为本节课设下悬念,起到承上启下、激发学生的学习动机的作用;又如创设“肾透析”教学情境,引发认知冲突,引导学生思考“肾的功能”,通过这些方式持续引发学生学习的关注度,产生学习内动力。  

2、分析专业知识特点,采用多样化的教学  

1)结构性知识,功能化教学  

本课的授课内容《肾的结构》,从生物学知识的分类来说属于生物体形态结构知识,此类知识对学生而言具有专业名词术语繁多,记忆枯燥,易遗忘等学习困难与特点,潘老师采用了“结构与功能相统一”的教学原则,从功能的角度切入形态结构特点,有效提起学习兴趣的同时,融繁琐的形态结构名词术语于功能化的学习中。  

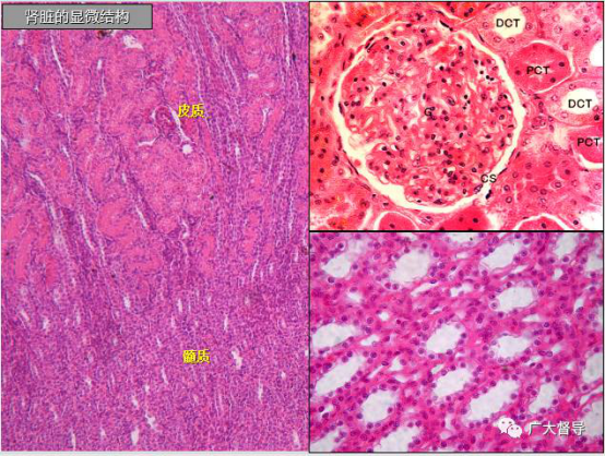
2) 结构性知识,直观化教学  

直观化教学是生物教学的重要手段,尤其在结构类知识的讲解中,呈现的事物越真切对学生学习效果越好。潘老师在该课中采用了实物图、模式图、连环画图等多种图形方式,安插在教学的不同环节中。在教材原有插图的基础上,进一步引入高清的结构电镜图、实验室的光学显微图形,使学生生动理解教材的内容的同时,也为学生即将在实验室进行的实验观察作了良好的铺垫准备。其次,图形的展示方式上,先宏观后微观,展示顺序符合了学生的认知规律。  

3)结构性知识,条理化教学  

 将结构性的知识条理化教学有利于学生的记忆,潘老师在本节课的条理性表现在:一是教学内容呈现条理化,如由浅入深的讲解,如从现象到本质的讲解(肾透析—肾功能—肾结构),从已知知识到未知知识的讲解,结构从外到内的讲解(肾的皮质-肾的髓质),从宏观到微观的讲解等。二是PPT呈现的条理化,课件中提纲清晰,知识层次明确,直观图片递进性呈现。课件版面的导航栏设计,很有特色。  

3、注重知识的重现与简化  

潘老师在新知识讲授时,很注重对原知识的回顾、重现与比较,对学生的新知学习找到知识的台阶,降低新知学习的难度,对学生知识的构建很有帮助;此外,在新知识学习后注重小结,通过语言或板书概括(如PPT中对肾单位的板书小结),起到归纳知识(尤其是对结构性生物学知识的)、简化知识的作用,对学生而言,起到减轻学习负担的作用。  

4、注重培养学生的理性思维,提高学科专业素养  

纵观全课,潘老师善于创设问题情境,引发学生判断与思考,有利于培养学生的理性思维;课堂中注重学生看图、分析图表等能力,对提高生物学科专业技能、专业素养提供了良好的学习环境。  

                                                  陈学梅  

课件部分页面    

潘顺波老师设计和编辑的课件部分页面的截图,课件的内容可以反映潘老师的的教学思路和和精心安排,也可以反映潘老师对教学工作的投入。  

   

   

     

     

     

     

     

   

   

   

   

   

关闭窗口
 

 
返回首页 | 机构设置 | 办事指南 | 教学动态 | 教务通知 | 规章制度 | 教学资源 | 表格下载 | 联系我们

广州大学教务处: 广州市大学城外环西路230号   电话 : 020-39366122   传真: 020-39366122